上海联迈生物工程有限公司品牌商

9

手机商铺

qrcode
商家活跃:
产品热度:
  • NaN
  • 0
  • 0
  • 2
  • 2
品牌商

上海联迈生物工程有限公司

入驻年限:9

  • 联系人:

    周经理

  • 所在地区:

    上海 松江区

  • 业务范围:

    耗材、细胞库 / 细胞培养、试剂、原辅料包材、实验室仪器 / 设备、技术服务

  • 经营模式:

    生产厂商 经销商 科研机构 代理商

在线沟通

当前分类:

抗体

搜索到28835条记录

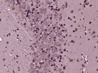
HSD17B1羟类固醇脱氢酶17β抗体

HSD17B1羟类固醇脱氢酶17β抗体

品牌:LMAI Bio

¥1380 - 2200

咨询
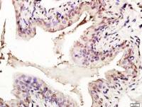
BCAT2支链氨基酸转氨酶2抗体

BCAT2支链氨基酸转氨酶2抗体

品牌:LMAI Bio

¥1380 - 2200

咨询
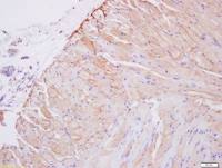
Annexin A8膜粘连蛋白8抗体

Annexin A8膜粘连蛋白8抗体

品牌:LMAI Bio

¥1380 - 2200

咨询
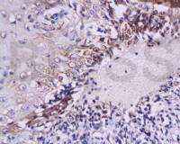
KLHL7 kelch样蛋白7抗体

KLHL7 kelch样蛋白7抗体

品牌:LMAI Bio

¥1380 - 2200

咨询
NUP214核孔复合蛋白Nup214抗体

NUP214核孔复合蛋白Nup214抗体

品牌:LMAI Bio

¥1380 - 2200

咨询
IL-6白介素6抗体

IL-6白介素6抗体

品牌:LMAI Bio

¥780 - 2200

咨询
CSEN钾通道相互作用蛋白3抗体

CSEN钾通道相互作用蛋白3抗体

品牌:LMAI Bio

¥1380 - 2200

咨询
p53 (FL-393)肿瘤抑制基因p53抗体

p53 (FL-393)肿瘤抑制基因p53抗体

品牌:LMAI Bio

¥1380 - 2200

咨询
ANKRD28锚蛋白重复域28抗体

ANKRD28锚蛋白重复域28抗体

品牌:LMAI Bio

¥1380 - 2200

咨询

我的询价