10 年
手机商铺
入驻年限:10 年
周经理
上海 松江区
耗材、细胞库 / 细胞培养、试剂、原辅料包材、实验室仪器 / 设备、技术服务
生产厂商 经销商 科研机构 代理商
公司新闻/正文
816 人阅读发布时间:2018-11-09 13:54
2017年12月在美国明尼阿波里斯市一个寒冷的早晨,一名男性走进了一个研究中心(该研究中心此前只有猪进去过),随后他冒险进入了全球最强的一台核磁共振成像仪中来对其全身进行扫描。
首先他换上了医院的长袍,同时研究人员确保其身上没有任何金属物质,包括戒指、金属植入物或者心脏起搏器等,任何金属可能都会被强大的10.5特斯拉核磁共振成像仪所撕裂,这台全球最强的核磁共振成像仪的质量约是波音737飞机的3倍,而且其磁场强度比当今临床使用的高强成像仪要高出50%;就在几天前,这名男子通过了一系列检查,包括对其平衡感的基准测试,以确保能够恰当地评估其因接触磁铁而产生的眩晕程度。在明尼苏达大学的磁共振研究中心,这名男子躺进了4米长的检查仓中,周围被110吨磁铁和600吨铁所屏蔽隔离,随后研究人员对该名男子的臀部进行了长达1小时的成像,对其薄软骨组织的成像质量将会展示这台核磁共振成像仪的分辨率。

图片来源:Centre for Advanced Imaging, The University of Queensland
研究中心的主任Kamil Ugurbil等待这一天的到来已经很多年了,由于填充磁铁的液氦供应不足,因此构建这个强大的成像仪面临了长时间的延迟,2013年这台机器终于被交付使用了,在研究者Ugurbil及其同事将首位患者送入检查仓之前,他们克服了大量困难,并且花费了将近4年的时间进行相应的动物试验并调节磁场强度,即便如此,研究人员对该成像仪的最终检测结果也并没有太大把握,但检测结果表明,研究人员漫长的等待是非常有意义的,当显示屏上出现了患者机体保护髋臼的极薄软骨的复杂细节后,研究者表示,我们非常高兴,我们所付出的努力也并没有白费。
这台价值1400万美元的成像仪世界上为数不多的强大成像仪,其将核磁共振成像技术的磁力强度又推向了一个新的高度,目前医院所使用的设备通常的磁场强度为1.5T或3T(特斯拉),但高强度的成像仪近年来逐渐兴起,目前在世界各地的实验室中已经有几十台7T的成像仪了,去年首台7T的原型成像仪在美国和欧洲获批用于临床,同时还有三台用于人类机体研究的成像仪强度超过了10T,除了明尼苏达大学的超高强度的成像仪外,另外还有两台11.7T的成像仪分别为位于巴黎的生物医学图像研究所和美国国立卫生研究院。目前德国、中国和韩国也在考虑构建14T的人体核磁共振成像仪。
超高场(磁场强度)成像仪的吸引力是显而易见的,然而磁场越强,其信噪比越高,这意味着对物体的成像分辨率更高或成像速度更快。在3T时MRI成像仪能够解析1毫米大小的大脑结构,而在一台7T强度的成像仪下该分辨率就能达到0.5毫米,这就足以识别人类大脑皮层内部的功能单元,或许还能够观察到人类大脑中神经元连接之间的信息流,而具有更高场强度的成像仪预期的分辨率至少是7T设备的两倍以上。
将成像仪的强度推动到更高一层意味着研究人员需要面临一系列挑战,成像仪越大、越贵,其对技术要求越高,而且也需要更加关注其安全性能,研究人员表示,7T的成像仪如今已经能在神经科学和临床应用方面帮助研究人员取得很多研究进展,而且临床医生可以更加准确快速地利用电极进行深部脑刺激疗法,还有可能更早地帮助患者发现骨关节炎。
研究者Ravi Menon表示,成像仪常常能为我们提供一些细节,而这些细节以前只能通过强大的显微镜成像技术在切片的尸检样本中观察到,而高强度的成像仪或许能为我们研究人类完整的大脑提供一扇强有力的窗户。

图片来源:University of Minnesota
如果我们能够创造高端的成像仪
自从上世纪70年代中期,第一台人体成像仪问世以来,核磁共振技术的基本原理基本没有太大变化,核磁共振技术的核心仍然是一个管状样的超导磁铁,其能产生一种静态电场,对水分子内部的氢质子进行重新排列,一旦这些质子排列完成,成像仪中的线圈就会发射出短时间的射频波,从而导致质子在磁场中摆动。当无线电波“爆炸”结束,质子就会释放能量,从而发出微弱的无线电波回声,并被接收线圈探测到,这时候就能提供大脑和其它组织的解剖图谱。
磁场越强,排列的质子比例就越大,它们之间能量的差别就越大,其产生的信号就能更好地被检测到,但磁场强度的每一次跳跃都会伴随一些不确定性出现;研究者Victor Schepkin表示,在核磁共振技术诞生初期,很多科学家就认为0.5T是核磁共振技术的最大磁场强度,因为它们认为,活体组织的离子导电性或阻断无线电波渗透入机体内部。随后20世纪80年代出现了1.5T的临床成像仪,2002年3-T成像仪获得批准。首批7-T研究成像仪也于1999年问世。
成像仪的磁场强度从3T提高到7T常常会让研究人员面临诸多挑战,出现生物学上的副作用虽然只是暂时的,但研究人员表示,当人们进出成像仪时可能会感觉到头晕和眩晕,而且当在成像仪中移动时,个体有时候还会出现不自主的眼球震颤现象。同时受试者也会出现组织过热的表现。随着磁场强度的增加,氢核也会在较高频率下发生共振,超高强度的成像仪就必须使用较短的波长,从而就会使得更高能量的射电脉冲推动质子摆动,同时人体组织也会从这些波中吸收更多的能量。为了避免制造热点并产生可用图像,这种能量必须尽可能地在检测仓中变得平滑,为此研究人员设计了很多策略,比如研究人员就使用可单独调节的发射器来产生脉冲等。
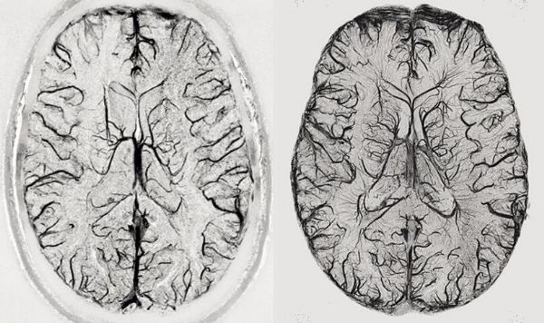
较好的分辨率也是喜忧参半的,因为其会使得成像仪对轻微的运动变得高度敏感,而一些由呼吸或心跳引起的机体重复运动或许也是可以被模拟或移除的。研究者Menon说道,最大的挑战就是7T甚至更高,这种强度目前在较低分辨率的成像仪中并不存在。如今7T强度的成像仪能通过揭示小于1毫米的结构来为研究人员开启研究人类活体大脑的新视野。
在被揭示的结构中有6层大脑皮层,3毫米厚得到大脑外层区域主要负责人类高水平的认知能力,而且每一层都非常特殊,一种负责处理来自大脑其它区域的信息输入,一些则进行信息处理并将处理结果传递到大脑的其它部分中。如今成像仪的强度跨越到7T能够让研究人员测定不同大脑皮层的相对活性,进而就能阐明大脑信息的传递机制,这或许就是3T或1.5T成像仪时代的巨大进步,正常情况下我们提及A和B相连接时,我们只知道其具有相关性,但却并不知道信息之间是如何流动的。
一些研究小组已经利用这种能力来测定人们在进行语言和行为测试时的机体活动,而且研究结果揭示了不同层次的活动如何改变大脑皮层不同区域对机体自身体验的处理[2];研究者Menon说道,不仅仅是大脑的A区域会负责视觉,其还受到了注意力、情绪和记忆力的调节,而诸如此类问题却很难在动物模型中进行回答,如今在人类机体中使用7T磁通量的成像仪,研究人员将会得到以前无法看到的一幅人类记忆的图像。
研究人员希望能对人类大脑的柱状组织进行深入研究,大脑的皮层柱结构被认为会发挥计算的能力,同时还会对特殊的刺激优先产生反应,比如物体的方位等;虽然仅有500微米大小,但皮层柱垂直于大脑皮质层,且能通过中间层来进行互相通信,如果成像仪能在柱状水平下测定大脑的活性,那么科学家们就能够对单个神经元的计算得出结论,这将会让人非常激动,因为磁共振成像仪的一个局限性就是其无法直接测定大脑的神经活性。
7T磁通量的成像仪能够更好地帮助测定大脑的连接性,研究人员旨在完全绘制出大脑神经元间的连接,如今他们利用3T和7T的成像仪对184名个体进行了扫描,相比3T而言,在7T磁通量下,研究者能够检测到神经元之间的沟通以及较多的神经网络,这或许对于未来研究人员准确预测人类疾病至关重要。
研究者Ugurbil表示,目前这些磁共振成像仪在临床诊断和疗法开发上展现出了巨大潜力,用于治疗帕金森疾病的深度大脑刺激通常是将电极插入到患者大脑的丘脑底核中,而丘脑底核是大脑基底核的一部分,核磁共振成像技术能够帮助外科医生定位电极的准确位置,一旦电极就位后就会被激活,来观察是否其击中了正确的目标。利用1.5T和3T的成像仪似乎有点试探的意思,如果电极没有被置于正确的位置,研究者或许就需要取出电极并将其置于不同的地方,而每次都有可能撞击血管导致出血的发生。而利用7T磁通量的成像仪所得到的图像就能消除所有干扰,当你看到目标时只需要一次渗透就能得到最终结果。
利用7T成像仪能够帮助解析更多多发性硬化症的症状和疾病进展机制,而用于治疗该病的药物也能够帮助减缓患者机体运动缺陷的进展,同时还能确保患者的预期寿命和生活质量。研究者Menon表示,利用7T成像仪我们就能定位此前观察不到的损伤位点,包括背外侧前额叶皮质,该区域主要负责机体的执行功能和注意力,而从历史角度来讲这是很难观察到的,观察到的这些病变也能够帮助解释为何患者会出现一些认知上的症状。
如果不需要较高的分辨率,临床医生就能在超高场的成像仪中使用更高的信噪比来快速扫描,在几秒内生成图像,否则则会需要几分钟时间,对于患者而言,这在舒适程度上会有很大的不同。研究者表示,在7T及以上的场强下,成像仪不仅能检测到氢核,还能检测到钠、钾、磷、氟等较重元素的核,这些元素对磁共振的固有灵敏度远低于氢核。
目前研究者Chang利用纽约大学的7T成像仪观察到了能预测骨关节炎的钠所发生的生化改变,研究结果表示,在疾病早期的患者中,其软骨中钠的浓度会下降,而这并不会影响其软骨的结构,目前多个研究小组已经通过进行小型研究重复了相关研究结果,研究者希望这种扫描技术能用来及时检测骨关节炎,并且通过生活方式的改变来抑制关节进一步发生损伤。

图片来源:Rolf Pohmann/Max-Planck-Institute for Biological Cybernetics
7T磁场强度以上呢?
世界上最强大的核磁共振成像仪位于美国国家高磁场实验室中,该成像仪的磁通量为21.1T,内部直径仅有10.5厘米,不能用于人体研究,于是研究者Schepkin及其同事利用该成像仪对小动物进行相关研究,比如他们利用这种成像仪对大鼠大脑肿瘤中的钠离子浓度进行了扫描研究,结果表明,肿瘤中钠的存在能指示肿瘤对化疗的耐受性[4]。
研究者Schepkin说道,刚开始我们在使用成像仪上缺失有一些犹豫,我们能够遵守一种规则,即没有人能单独地在成像仪附近工作,如今这一规定不再适用了,但研究小组依然严格遵守“不使用金属”的政策。这台并不是完全商用的成像仪花了好几年时间才准备用于动物实验,而且对于许多超过10T的新型人体成像仪而言,这一过程或许同样漫长,比如美国国立卫生研究院目前就正在等待其11.7T的成像仪的回归;研究者表示,2011年交付之后,研究小组就开启并关闭了一些扫描仪部件,从而导致磁铁过热损坏了一些线路,因此磁铁就需要返厂修理,去年5月,法国NeuroSpin研究中心用作11.7T成像仪的5米直径的磁铁就已经交付使用了,该扫描仪将于2022年首次对人类大脑进行扫描研究。
2017年8月,研究者Ugurbil就接受了FDA的检查,即利用10.5T的磁共振成像仪对20名体进行扫描研究(去年12月的那个人是第一个进行扫描的人),研究者计划在几个月内开始扫描第一个人类大脑,在这种场强下进行扫描是在研究人员并不希望回答任何生物医学问题时进行的,而研究人员只是想简单地测试这个过程是否有副作用。
这些成像仪所产生的热量可能会带来更大的问题,有些研究人员推测,操作14T以上的成像仪或许会使得大脑的神经传导减慢,刺激周围神经或破坏DNA,尽管研究人员表示,甚至在21.1T的磁场强度下也并未在动物机体中观察到上述影响,因此在某一时刻,磁场强度或许会达到一个机极限,当超过这个极限时我们或许就不能不损伤身体了。